生活养生
-
吐司里跑出活老鼠
近日,有市民称与老鼠“不期而遇”,打开吐司面包的包装后窜出一只老鼠,着实给了主人很大的“惊吓”。也有网友戏称幸运吐司真幸运,下单送“宠物”。 老鼠是怎么进入面包包装袋的? 所幸市民…
-
牛奶洗脸真的会变白吗,牛奶泡澡真的能变白吗
相信很多人都听说过牛奶洗脸可以美白这一说法,不少人都用过过期的牛奶洗过脸,用牛奶洗脸真的可以美白吗?如果可以美白,那正确的牛奶洗脸方式是什么呢? 皮肤变白到底取决于什么 现代医学认…
-
减肥吃什么早餐好 10种早餐让你瘦不停
现在人们越来越重视自己身材,很多人都开始踏上了减肥的道路,有些人为了能够更快地达到减肥的效果,选择不吃早餐,这样能够减少脂肪的摄入,从而达到减肥的效果。事实上这种做法并不正确,因为…
-
牛奶洗脸真的可以美白吗蚂蚁庄园
怎样用牛奶洗脸才能美白?想要美白,用牛奶洗脸的确是一种不错的方法。但是关键是用牛奶洗脸也要掌握方法,并非随便洗洗就能达到美白的效果的。下面伊秀美容网小编就来教你用牛奶洗脸,洗出白净…
-
白芨抗衰老(白芨怎么做能祛皱纹)
长寿是人类一直追求的理想,如何能够让自己保持年轻一点,是每个人内心都渴望的事情。 一种汉方珍草,能够抗衰老、美颜肌肤、去除痘痘,在很多抗衰老的配方里边都有它,它就是可以作为盆景观赏…
-
阳性期间出现身上痒是怎么回事,阳性期间身上痒是怎么回事
12月17日,北京大学第一医院密云医院急诊科医生高巍在微博发布视频表示,一旦在感染新冠病毒期间,出现身上痒等情况,很有可能是过敏,需要引起重视,必要情况需紧急就医。 “最近我身边很…
-
海南黄花梨木的价值,人工种植现状介绍
提要:海南黄花梨木的价值、人工种植现状介绍 海南黄花梨是在1987年国家林业总局命名的“降香黄檀”,只有在我国的海南省种植,海南黄花梨虽然外表并不漂亮,却是有多变的纹理、迷人的花纹…
-
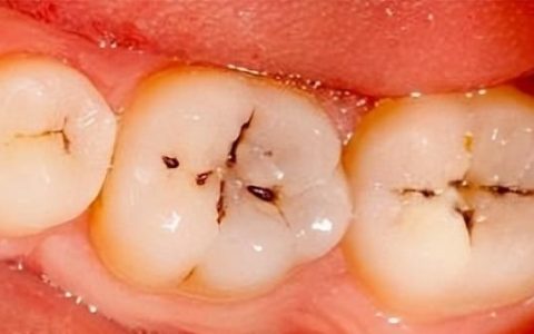
蛀牙痛怎么办快速止痛
蛀牙、虫牙,我们学术上称为龋(qu)齿,是细菌产生的酸存留在牙齿表面,把全身最硬的组织给溶解掉了,所以才会形成洞。 如果发现自己有蛀牙了,或者说发现自己牙齿上有洞、有黑线,就需要找…
-
纯露和精油怎么分离,哪种植物精华香味最好
什么叫芳疗? 芳疗,就是利用芳香植物的能量,对身体、肌肤和心灵状态进行护理的疗法。因为是非医药性的,所以也可被称为纯天然疗法。 说的更简单一点,就是人们从各种芳香植物的不同部位中,…
-
躁郁症会打人骂人吗
这个组织有人认为抑郁症、躁郁症等患者都是从小被父母溺爱导致,所以到这里后他们被迫戒了药,断了治疗。 甚至他们认为这些人的病症都是装出来的。 他们号称少则1个月,多则无限期总会让这些…
