回答之前,想给大家提个问题:“您认为我们的身体之所以能灵活活动最关键的结构是什么?”
相信看了上面的这个动图,大家应该就会明白答案了,那就是我们的关节。无论是我们的颈椎,还是上肢、下肢、腰椎之所以能够灵活的活动,都是因为有了关节这个重要的结构,才能完成身体各个方向的活动。
那么这和骨折以后是否存在后遗症有什么关系呢?其实关系是非常大的,因为如果是涉及到关节的骨折恢复的不好,就很有可能留下后遗症。而涉及到一些干性的骨折,只要愈合以后,即使骨折端愈合的略有旋转,但是对患者的功能影响是不大的。
涉及到关节的骨折为什么容易出现问题呢,因为骨折有可能导致关节软骨的损伤,关节软骨一旦发生了损伤,就会诱发创伤性关节炎。
经常看谢医生科普的朋友们应该了解医生往往对于关节的软骨非常的重视。因为软骨就相当一个轴承的光面,如果这个光面出现了沙眼,那么很有可能在活动的过程当中导致这个轴承在使用的过程当中越磨损越严重,最后报废。
我们的关节也是一样的,一旦关节的软骨发生了比较严重的磨损,骨头与骨头之间直接发生摩擦,就会导致骨赘的形成、关节间隙的狭窄最终导致患者难以忍受的疼痛,以及功能的丢失。
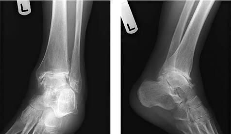
那么在外伤的过程当中,尤其是骨折的过程当中暴力一旦伤及到关节,很多人在x线上会明确的看到骨头的折断,但是在骨头上面尤其是涉及关节的骨头上面,软骨也会发生明显的撕裂。(下图就是典型的关节骨折软骨骨折的关节镜下所见)相信不用学医,也会看到骨折以后关节的软骨也会有明显的折断。

因为关节软骨是一种不可再生的结构,如果骨折对位比较好,软骨对位也比较好的话,骨折愈合以后,可能不会有太大的影响。但是毕竟裂痕已经形成了,将来就很有可能会诱发软骨的退变,导致创伤性关节炎的发生。而如果骨折对位的比较好,关节软骨没有对位的特别好,那么就有可能很快发生创伤性关节炎。
(下图就是典型的胫骨平台骨折以后,创伤性关节炎最终给予进行关节置换解决问题的病历)
之所以要做这样的手术,其实就是因为骨折以后关节腔的软骨发生了退变,之后随着关节腔软骨磨损的越来越薄,关节间隙也会越来越窄,骨与骨之间的压力也会越来越大,患者就会越来越痛,当创伤性关节炎比较严重的时候,患者出现了明显的夜间痛、休息痛、严重影响了患者的生活,已经工作,就需要进行关节置换来帮助患者解决问题。

涉骨骼干性结构的骨折,后遗症相对较少
而比如股骨干或者是肱骨干这一类的干性骨折,因为骨折的部位没有涉及到关节软骨,那对关节的损害就相对来讲比较小。
然而为什么要说是后遗症相对较少,而不是说没有后遗症呢?请大家相信我们的骨骼是被上帝精心设计而成的,某一块骨头会有这样的形状,会有这样的曲度,都是有它的道理的。如果发生骨折以后,经过医生的治疗,骨折按照原来的解剖结构对位对线完美的愈合,那么对于患者将来的影响可以说是最小的,甚至可以说没有影响。
而如果干性骨折,没有按照原来的力线去愈合,稍微有一些旋转或者是有一些比较大的旋转,虽然愈合以后在骨折处患者并不会表现出来特别的疼痛或者症状,但是在骨折部位远端的关节会受到明显的影响,因为一旦整个骨骼发生了旋转,整个关节的力线和活动就都会受到影响,某一个原来不会承受压力的部位,可能会变得承受很大的压力。这种反应可能在骨折愈合以后1~10年或者是很多年内都不会有明显的改变,患者会有一定的适应,但是随着时间的延长和人的衰老,慢慢就会出现关节的问题,比如关节间隙的狭窄、关节的疼痛和功能的受限。
这也是为什么现在都主张解剖复位骨折,尽量恢复骨折形状的原因。
以上就是对于提出问题的解答,在骨折以后,并不是所有的人都会出现所谓的后遗症,如果能够及时的给予进行正确的处理,尽量恢复骨折部位的力线、尽量恢复关节腔软骨的形态,后遗症发生的几率还是比较小的。如果您还有其他的疑惑,可以在下方留言,大家共同探讨。
我是坚持用简单语言解释复杂疾病知识的谢新辉,码字不易,如果您赞同我的观点,请帮忙点个关注或点个赞吧,谢谢啦!
谢请。
经常有人问我,骨折以后有什么后遗症?以后会不会瘸腿?
其实要分几个方面。临床上最常见的分类方法就是急性并发症和慢性并发症。
急性并发症,包括骨折当时引起的神经血管损伤,骨筋膜室综合症等等。除了急性并发症,还有后面很多慢性的并发症。比如说长时间的神经损伤,褥疮,坠积性肺炎,长时间卧床导致的肌肉萎缩,骨质疏松,等等。
一般的骨折,假如说在长骨干,只要复位良好,处理及时。绝大部分是没有任何后遗症的。
但是如果骨折处理不好或者没有及时处理,或者开放性骨折,容易引起局部的感染,如果感染经久不愈,有时候会导致骨髓炎。那就会长期局部的疼痛,经常会复发,有时候窦道经久不愈。
如果是下肢的骨折处理不及时或者不好的话,有时候会引起长时间的疼痛,有时候因为下肢短缩甚至瘸腿。
如果是关节处的骨折,由于骨折经常会破坏关节软骨,而一旦软骨有破坏,不能再生。那很有可能会引起创伤性关节炎。经常会有疼痛。
还有些关节骨折比如肘关节附近的骨折,膝关节周围的骨折,由于早期需要制动。所以有时候会造成膝关节的粘连,活动受限。还有些部位容易导致骨化性肌炎。
所以一旦遇到骨折要及时处理。正确及时的处理,能够避免很多并发症。
本文来自投稿,作者:时遇,不代表食养源立场,如若转载,请注明出处:https://www.xiayuan17.com.cn/shys/6569.html
