骨折
-
骨折后多久可以吃鸡蛋,骨折为什么不能吃鸡蛋和豆腐
你好: 可以吃 骨折病人需要有助于接骨续筋,益气养血,补益肝肾,促进骨折愈合的食品,如:蛋白质,钙,磷,镁和各种维生素等物质,这些物质在禽蛋,瘦肉,猪血,牛奶,豆类,蔬菜和水果中含…
-
胫腓骨骨折内固定多久能恢复,胫腓骨骨折外固定需要多久恢复
简单说一下胫腓骨骨折,对于胫腓骨骨折,如果是中上段的骨折血供还算可以,但是如果对于胫腓骨骨中下段骨折容易造成骨不连或者骨延迟愈合,尤其是胫骨中下段的骨折,由于血供相对比较差,所以经…
-
骨折多久可以愈合
骨折多久可以愈合 骨折愈合的时间与骨折严重程度、病人身体状态、治疗效果、康复情况有关,基本稳定需要6~8周,完全愈合则需要3个月左右的时间。 骨折是骨骼的连续性消失的外伤性疾病,可…
-
骨折手术后吃什么好,哪些食疗效果好呢
骨折手术之后的疼痛对于很多做完手术的人来说是很难忍受的,如何缓解疼痛也是他们所关心的一个问题。通常情况下,发生这种疼痛是比较常见的一种情况,而之所以会发生这种情况有可能是在骨折之后…
-
骨折了吃什么好的最快,骨折病人可以吃什么水果
骨折病人的饮食调养 对骨折病人的营养需求与膳食,患者和家属大多感到困惑,常常不得不向医生请教。 其实,骨折病人除了在最初一些日子里可能伴有轻微的全身症状外,其余时间里大多没有全身症…
-
骨折后怎样才能恢复快
我来说说,仅代表个人观点! 郑重声明:仅代表个人观点! 确实有很多病人和家属做完手术都会问,我该吃什么?补点什么恢复的快?骨折长的快! 我一般是这么解决的! 年轻人,40以下,尤其…
-
骨折后遗症,骨折之后会有后遗症吗
回答之前,想给大家提个问题:“您认为我们的身体之所以能灵活活动最关键的结构是什么?” 相信看了上面的这个动图,大家应该就会明白答案了,那就是我们的关节。无论是我们的颈椎,还是上肢、…
-
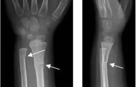
桡骨远端骨折四十天手背还肿
按照您的描述拆除了外固定,应该是采取了手法复位+石膏外固定保守治疗,因为采取了内固定手术的话一般不需要外固定。由于桡骨远端位于我们的腕关节部位,拆去外固定以后仍然觉得肿,多见于两种…
-
骨折病人的饮食:骨折病人吃什么好的最快
骨折是指骨头或骨头结构完全或部分断裂,主要发生在老年人和儿童身上。骨折经过及时恰当处理就能恢复原来功能,只有少数患者留下不同程度的后遗症。骨折后除了按照医生嘱咐用药,多进行功能训练…
